하프클리닉

  • ko
  • cn
지방세포 파괴
림프순환 원활
피부탄력 개선
단기 최대 감량에 꼭 필요한 효과만 배합하여 만들었습니다.
프리미엄 하프컷주사
※살이 너무 빠져도 놀라지 마세요.
하프컷주사는 대량 감량 목적으로 연구 개발된
지방분해주사이므로,

7kg 이상 큰 폭의 감량을 원하는 분들께 권해드립니다.
1,000kg 이상 감량 노하우!
서울대 출신 비만전담의 직접 연구·개발
쉽고
빠르고
안전하게
단단한 지방세포를
녹이고 빼낸다
프리미엄 하프컷주사는
강력한 지방세포 파괴 성분에 림프순환 효과가 강화된 프리미엄 레시피로
빠른 시간 내 지방 감량과 라인 개선 에 탁월한 효과를 보이고 있습니다.
베테랑 비만전담의가 알려주는
다이어트 성공 노하우

프리미엄 하프컷
단기 최대 감량 성공 사례

오직 하프에만 있는 하프컷주사
‘프리미엄’일까?

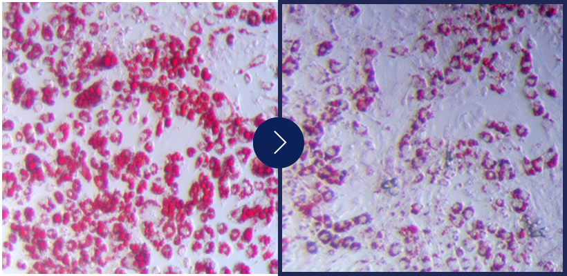
공신력 있는 외부 기관에서
지방세포수 감소 효과 입증
연구개발, 기술평가 전문기업 S*** 시험 결과
지방세포 수 40.1~48.7% 감소 확인
감량성공률을 높이는
1:1 전담 책임 의료진 시스템

고객 한 분에게 비만전담의 1인, 경험 많은 실장 1인으로 구성된 전담 책임 의료진 시스템을 적용하여
다이어트를 포기하지 않고 끝까지 성공할 수 있도록 책임지고 도와드립니다.

일반 지방분해주사와
차원이 다른 시술 방식
  • 특별 주문 제작한 약물 주입 장비
    하프컷은 캐뉼라나 니들로 약물을 주입하지 않고
    특별 주문 제작한 식약처 인증 장비를 사용합니다.
    ※카피 방지를 위해 사진을 공개하지 않습니다.
  • 개인별로 적용되는 약물 주입 위치
    하프컷은 지방층에만 주입하지 않고
    살이 찐 원인, 부종, 처짐 정도, 시술 부위에 따라
    주사의 깊이와 용량을 1:1 맞춤 적용합니다.
일반 지방분해주사로 없애기 힘든
셀룰라이트 개선

림프순환 효과가 강화된 프리미엄 하프컷주사는
지방세포로 유입된 수분이나 노폐물을 정상적으로 배출하여
셀룰라이트 개선되는 효과를 경험할 수 있습니다.

FDA 승인 받은
안전한 약물만 배합하여 사용

프리미엄 하프컷주사는 FDA 승인 받은
안전한 약물만 배합하여 인체 무해합니다.
부작용 없이 대용량(무제한) 시술이 가능하여
지방 쌓인 곳 어디든, 머리부터 발까지 전신 시술이 가능합니다.

안전하니까 무제한으로!
프리미엄 하프컷주사
시술 부위

하프컷주사 실제 사례자 홍OO님

하프컷주사
이런 분께 추천합니다

  • 3개월 내로
    급하게 빼야 하는 분
  • 7kg 이상
    많이 빼야 하는 분
  • 얼굴/상체/하체
    부종이 심한 분
  • 식단+운동이
    너무 힘든 분

시술과정

모든시술은 배정된 담당원장님이 직접 시술하며,
공장형이 아닌 1:1 맞춤솔루션으로 진행됩니다.

  • STEP 01
    현재 몸 상태 분석
  • STEP 02
    담당원장님과 상담
  • STEP 03
    (선택사항) 초음파 정밀 검사
  • STEP 04
    맞춤 디자인 후 시술진행
  • STEP 05
    담당 실장 배정 후 밀착관리

하프클리닉 만의
프리미엄 기술력

하프컷주사

서울대학교 의과대학 출신
심재용 대표원장님의
끊임없는 연구로 만들어진 하프컷주사는
하프클리닉에서만 만날 수 있는
프리미엄 시술
입니다.

1:1 배정 된 실력있는
전담원장님의

개인 맞춤 진료와 시술

하프클리닉에서는 1000kg 이상 감량시킨
실력있는 의료진이 전담 배정
되어
각자의 상태에 맞는
진료와 시술을 책임감 있게 진행합니다.

다이어트를 성공적으로
끝낼 수 있도록

다이어트 1:1 밀착관리

시술 후에도 전담 실장님이 1:1 배정되어
다이어트를 진행하여 마주하게 되는
돌발 상황, 작은 감정 변화, 식단까지 체크하여
말착관리를 진행
해 다이어트 성공의 길을 함께 합니다.

효과적인 시술 &
체계적인 프로그램

하프관리 시스템

림프순환 효과가 더욱 강화된
프리미엄 지방분해주사와 실력있는 의료진,
경험 많은 실장님의 밀착관리
의 하모니로
높은 체중 감량이라는 시너지 효과
안겨드립니다.
대표상담전화
042-710-4002
진료시간
  1. AM 10:00 ~ PM 08:00
  2. AM 09:00 ~ PM 04:00

※ 점심시간 PM 13:00 ~ 14:00 (토요일은 제외)

※ 수요일, 일요일, 공휴일 휴진입니다.

쉽고 빠른 상담 신청

  • 이름
  • 연락처
  • 진료여부
  • 관심부위